12 Southend Ave, Darlington DL3 7HL, UK

Smile Gallery

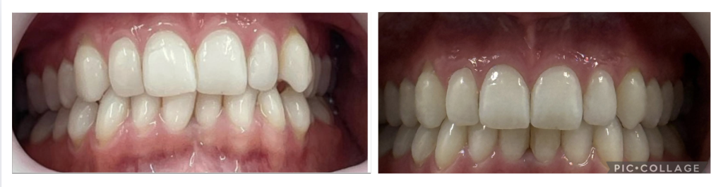
Welcome to our Smile Gallery, where we showcase the remarkable transformations achieved through our dental treatments. View through before and after photos of our patients to witness the difference a healthy, beautiful smile can make. 

If you’re impressed by what you see in these photos, why not book a consultation? We will explain how our services can assist you in reaching your desired outcome.

Case 1

Dental implant placement

tooth placement near me

Case 2

Dental implant placement

Case 3

Dental implant placement

Case 4

Dental implant placement

Case 5

Dental implant placement

dental implant

Case 6

Invisalign

Case 7

Invisalign

Case 8

Invisalign

Case 8

Composite Bonding

Case 9

Invisalign

Request Appointment

Fill up the form below to request an appointment with us